Table of Contents



Washington University Experience | PERIPHERAL NEUROPATHY | 10 INFECTION | 1 Herpes Zoster | 2A1 Zoster (Case 2)

2A1 Zoster (Case 2)
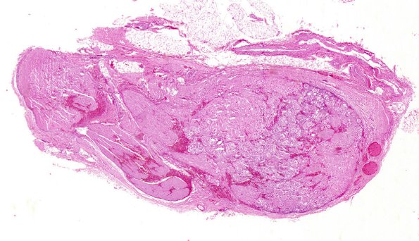
A lumbar dorsal root ganglion shows classic hemorrhagic ganglionitis. (H&E)


Gallery RSS RSS Feed | Archive View | Login | Powered by Zenphoto