Table of Contents
« prev
next »
Washington University Experience
|
PERIPHERAL NEUROPATHY
|
10 INFECTION
|
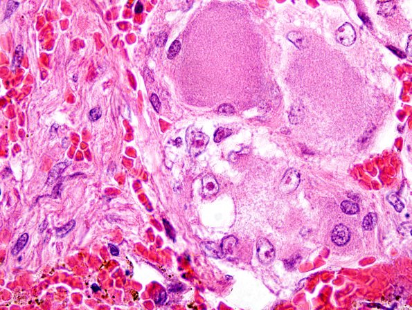
1 Herpes Zoster
|
2A10-Varicella-Zoster-Case-2-DRG-H-E-3.jpg
2A10,11 Additional examples of infected neurons and satellite cells. (H&E)
Image Info
Camera Maker:
Olympus Corporation
Camera Model:
DP70
Original Time Taken:
02-01-2014
Shutter Speed:
4/17 sec
ISO Sensitivity:
200
Metering Mode:
Spot
Gallery RSS
|
Archive View
|
Login
|
Powered by
Zenphoto