Table of Contents
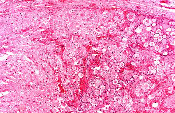
Washington University Experience | PERIPHERAL NEUROPATHY | 10 INFECTION | 1 Herpes Zoster | 2A2 Zoster DRG (Case 2) H&E 10X 1a
Higher magnification of image #2A1 showing a large area of necrosis on the left margin of the image. (H&E)
