Table of Contents



Washington University Experience | PERIPHERAL NEUROPATHY | 10 INFECTION | 1 Herpes Zoster | 2A6 Zoster DRG (Case 2) H&E 2 (2)

2A6 Zoster DRG (Case 2) H&E 2 (2)
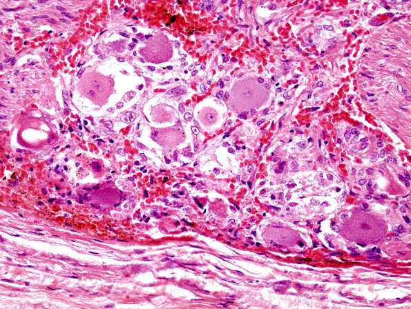
Adjacent to the necrotic area are areas in which histology is more preserved. (H&E)


Gallery RSS RSS Feed | Archive View | Login | Powered by Zenphoto