Table of Contents
Washington University Experience | PERIPHERAL NEUROPATHY | 10 INFECTION | 1 Herpes Zoster | 2A7 Zoster (Case 2) 23 copy
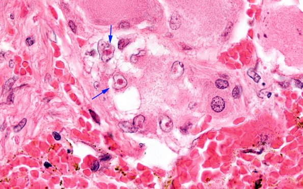
Satellite cells (arrows) surrounding a degenerating neuron show marginated chromatin and red herpetic inclusions (H&E).
