Table of Contents
Washington University Experience | PERIPHERAL NEUROPATHY | 10 INFECTION | 1 Herpes Zoster | 2A8 Zoster (Case 2) 25
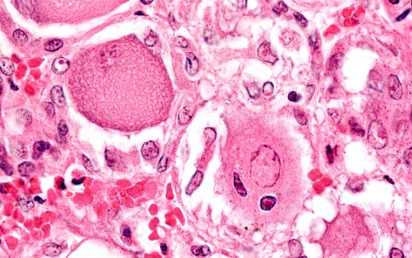
2A8,9 These images show degenerating neurons, one of which has a typical inclusion (arrow, 2A9) as well as numerous satellite cells with inclusions. (H&E)
