Table of Contents
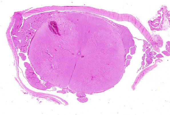
Washington University Experience | PERIPHERAL NEUROPATHY | 10 INFECTION | 1 Herpes Zoster | 2B1 Zoster myelitis (Case 2) Zoster myelitis (ts) 3
2B1,2 In this case the spinal cord in the lumbosacral region (lumbar DRG was taken) shows a focal hemorrhage at the dorsal root entry zone. (H&E)
