Table of Contents
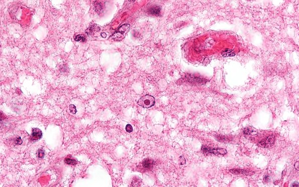
Washington University Experience | PERIPHERAL NEUROPATHY | 10 INFECTION | 1 Herpes Zoster | 2B3B Zoster myelitis (Case 2) Zoster myelitis (ts) 100X 1
In the cord parenchyma at the edges of the hemorrhage, individual cells, mostly glia, have marginated chromatin and inclusions. (H&E)
