Table of Contents
Washington University Experience | PERIPHERAL NEUROPATHY | 10 INFECTION | 1 Herpes Zoster | 2C2 Zoster myelitis (Case 2) WM 1
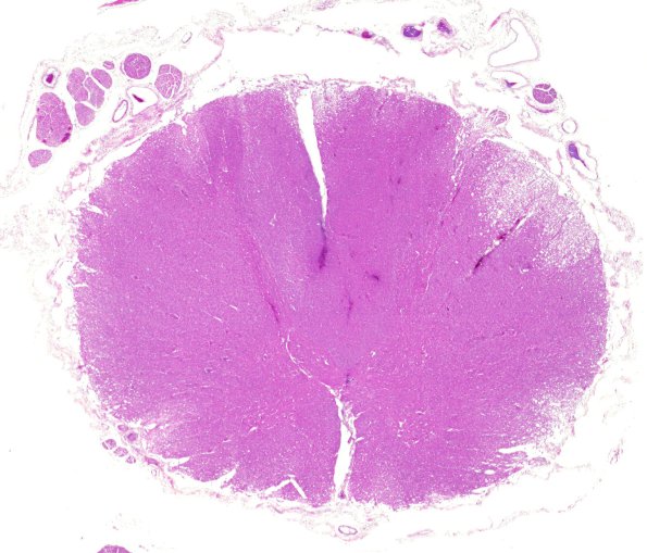
Other cord segments in which areas of infarction are noted involving the circumference of the cord, likely a combination of infection and ischemia. (H&E)
