Table of Contents
Washington University Experience | PERIPHERAL NEUROPATHY | 10 INFECTION | 1 Herpes Zoster | 2D3 Varicella (Case 2) H&E 8 copy
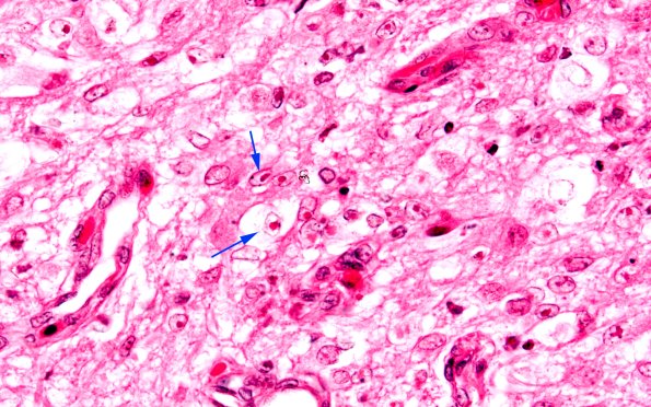
This is a section of medulla in which the area postrema, a site in which the blood brain barrier is absent, shows viral inclusions (arrow). (H&E)
