Table of Contents
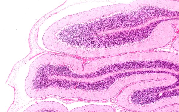
Washington University Experience | PERIPHERAL NEUROPATHY | 10 INFECTION | 1 Herpes Zoster | 2E1 Varicella (Case 2) H&E 1
2E1-3 The cerebellum is also involved with degenerating Purkinje cells and glia with numerous inclusions (arrow, 2E3). (H&E)
