Table of Contents
Washington University Experience | PERIPHERAL NEUROPATHY | 10 INFECTION | 1 Herpes Zoster | 2E3 Varicella (Case 2) H&E 4 copy
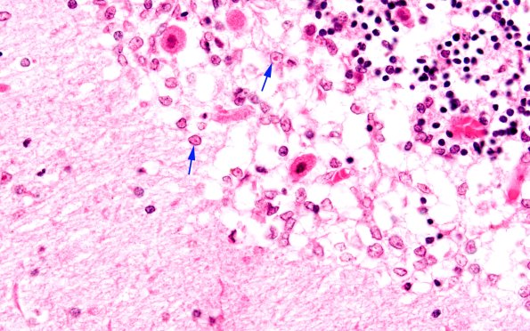
The cerebellum is also involved with degenerating Purkinje cells and glia with numerous inclusions (arrows). (H&E)
