Table of Contents



Washington University Experience | PERIPHERAL NEUROPATHY | 10 INFECTION | 1 Herpes Zoster | 3B4 Zoster cord (Case 3) 3

3B4 Zoster cord (Case 3) 3
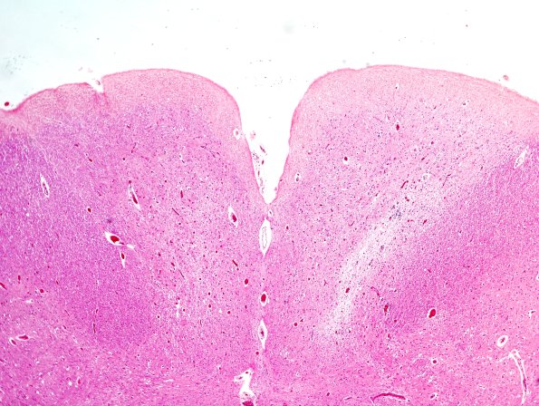
The left gracile nucleus also shows a degree of pallor, although less than the right nucleus. (H&E)


Gallery RSS RSS Feed | Archive View | Login | Powered by Zenphoto