Table of Contents
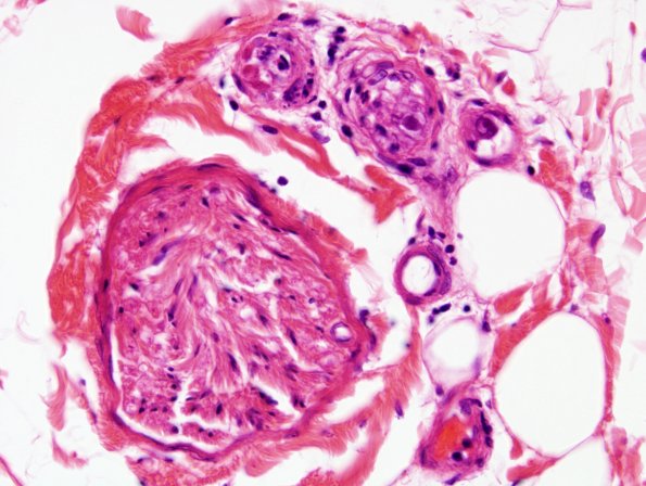
Washington University Experience | PERIPHERAL NEUROPATHY | 10 INFECTION | 2 Cytomegalovirus (in AIDS) | 1A2A CMV Neuritis in AIDS (Case 1) H&E 10
1A2A,B The fascicle labeled with an arrow in image #1A1 is shown at higher magnifications stained with H&E (1A2A) and with antibody against CMV proteins (1A2B).
