Table of Contents
Washington University Experience | PERIPHERAL NEUROPATHY | 10 INFECTION | 2 Cytomegalovirus (in AIDS) | 1A4 CMV Neuritis in AIDS (Case 1) H&E 14
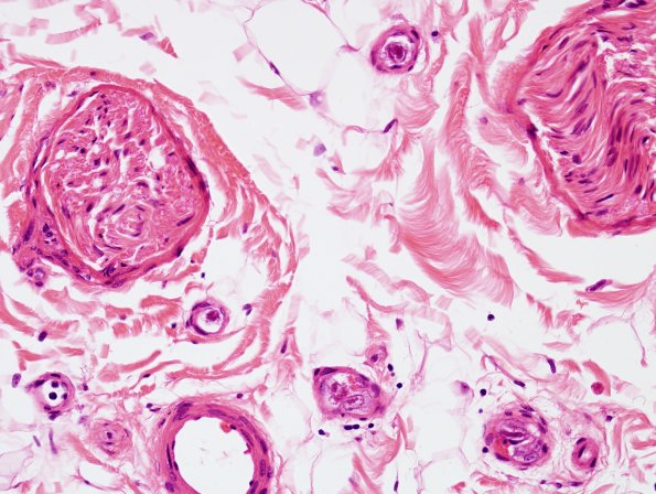
1A4-7 In these images section there are numerous endothelial cells exhibiting CMV inclusions. The inclusions are typically in small epineurial vessels (H&E)
