Table of Contents
Washington University Experience | PERIPHERAL NEUROPATHY | 10 INFECTION | 2 Cytomegalovirus (in AIDS) | 1B2 CMV Neuritis in AIDS (Case 1) ImmunoCMV 2
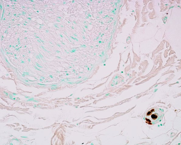
These lightly stained images show CMV immunoreactive elements, sparing the endoneurium. (CMV IHC)
