Table of Contents
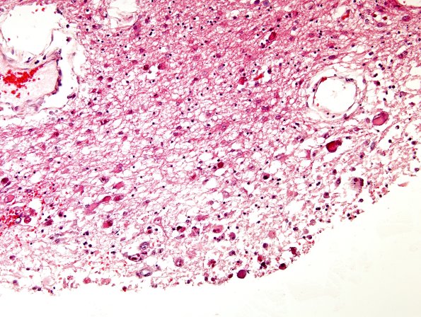
Washington University Experience | PERIPHERAL NEUROPATHY | 10 INFECTION | 2 Cytomegalovirus (in AIDS) | 2B1 CMV (Case 2) Ependymitis H&E 1
2B1,2 Sections of the cerebral hemispheres, cerebellum, brainstem and spinal cord show widespread CMV encephalitis without significant inflammation. There is also diffuse CMV ependymitis and subependymal destruction of brain tissue in the regions of the left and right lateral and the 3rd and 4th ventricles. The ependyma, shown here in the lateral ventricle, are extensively involved. (H&E)
