Table of Contents
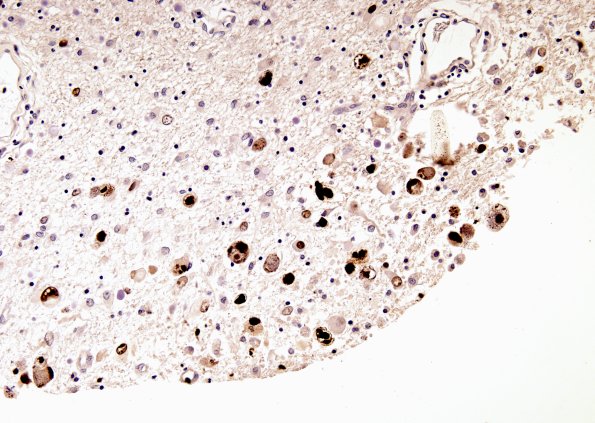
Washington University Experience | PERIPHERAL NEUROPATHY | 10 INFECTION | 2 Cytomegalovirus (in AIDS) | 2C1 CMV (Case 2) Ependymitis CMV
2C1,2 The same area shown in images #2B1,2 is shown here at several magnifications stained immunohistochemically for CMV. Note the extensive CMV involvement of both ependymal cell nuclei and cytoplasm. (CMV IHC)
