Table of Contents



Washington University Experience | PERIPHERAL NEUROPATHY | 10 INFECTION | 2 Cytomegalovirus (in AIDS) | 2C2 CMV (Case 2) Ependymitis CMV2

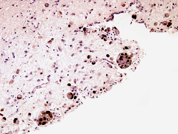
2C2 CMV (Case 2) Ependymitis CMV2
Higher magnification of image #2C1. (CMV IHC)


Gallery RSS RSS Feed | Archive View | Login | Powered by Zenphoto