Table of Contents
Washington University Experience | PERIPHERAL NEUROPATHY | 10 INFECTION | 2 Cytomegalovirus (in AIDS) | 2D1 CMV (Case 2) N9a H&E 4A
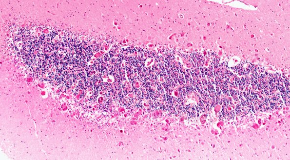
2D1,2 The cerebellum is diffusely involved with markedly enlarged CMV-infected (“cytomegalic”) cells and Bergmann astrocytosis. (H&E)
