Table of Contents
Washington University Experience | PERIPHERAL NEUROPATHY | 10 INFECTION | 2 Cytomegalovirus (in AIDS) | 2E1 CMV (Case 2) Spinal cord 2X copy
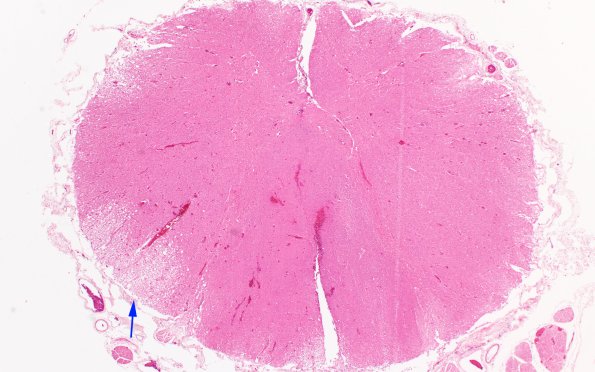
2E1,2 There is also extensive CMV involvement of the subpial portion of the brainstem and spinal cord (shown here). The area (arrow, 2E1) is shown at higher magnification in image #2E2. (H&E)
