Table of Contents
« prev
next »
Washington University Experience
|
PERIPHERAL NEUROPATHY
|
10 INFECTION
|
2 Cytomegalovirus (in AIDS)
|
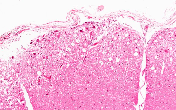
2E3 CMV (Case 2) Spinal cord rim
2E3-5 Other spinal cord sections showing numerous subpial areas of CMV myelitis. (H&E)
Image Info
Camera Maker:
Olympus
Camera Model:
DP74
Shutter Speed:
13/50000 sec
Metering Mode:
Average
Gallery RSS
|
Archive View
|
Login
|
Powered by
Zenphoto