Table of Contents
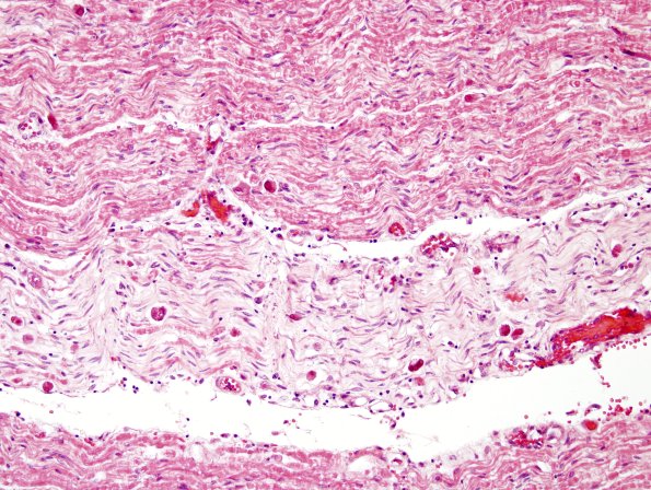
Washington University Experience | PERIPHERAL NEUROPATHY | 10 INFECTION | 2 Cytomegalovirus (in AIDS) | 2F1 CMV Neuritis in HIV (Case 2) H&E 3
2F1-3 Spinal roots in the lumbosacral area show prominent pallor, axon loss and cytomegalic CMV infected cells. The proximal portions of brainstem cranial nerves showed similar histopathology. (H&E)
