Table of Contents
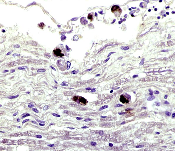
Washington University Experience | PERIPHERAL NEUROPATHY | 10 INFECTION | 2 Cytomegalovirus (in AIDS) | 2G CMV Neuritis in HIV (Case 2) Anti-CMV
The same roots stained immunohistochemically for CMV showed both nuclear and cytoplasmic staining. (CMV IHC) ---- Not shown: There was no evidence of HIV encephalitis or vacuolar myelitis in the sections examined.
