Table of Contents
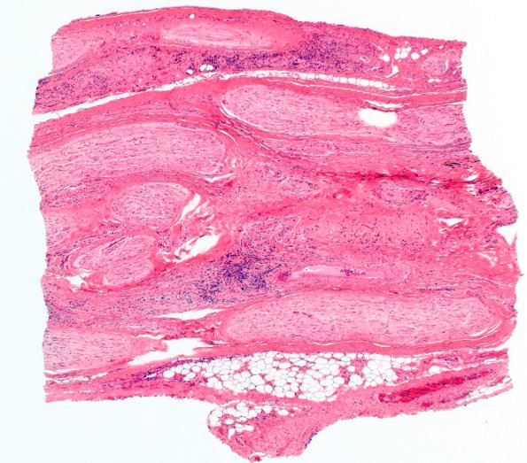
Washington University Experience | PERIPHERAL NEUROPATHY | 10 INFECTION | 2 Cytomegalovirus (in AIDS) | 3A1 HIV, Vasculitis (Case 3) H&E 4X 2
3A1 Vasculitis involving endoneurial or epineurial vessels has been documented on many occasions in patients with HIV infection. In this case inflammation is prominent but consists mostly of plasma cells with a few histiocytes and lymphocytes. The fascicles are pale which has resulted from near total axon loss. (see plastic sections)
