Table of Contents
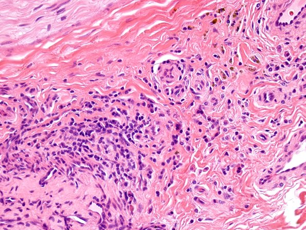
Washington University Experience | PERIPHERAL NEUROPATHY | 10 INFECTION | 2 Cytomegalovirus (in AIDS) | 3A2 HIV, Vasculitis (Case 3) H&E 3
3A2-4 The inflammatory infiltrate is not accompanied by CMV inclusions (despite extensive searching) and CMV immunohistochemistry was, unfortunately, not performed on this old case.
