Table of Contents
Washington University Experience | PERIPHERAL NEUROPATHY | 10 INFECTION | 2 Cytomegalovirus (in AIDS) | 3B2 HIV, Vasculitis (Case 3) Plastic 1
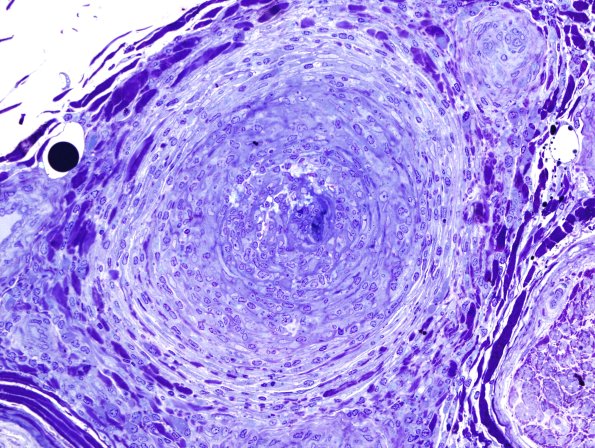
This vessel is inflamed and shows angionecrosis. Again, no CMV is seen. (Plastic section)
