Table of Contents
Washington University Experience | PERIPHERAL NEUROPATHY | 10 INFECTION | 2 Cytomegalovirus (in AIDS) | 3B3 HIV, Vasculitis (Case 3) Plastic 7
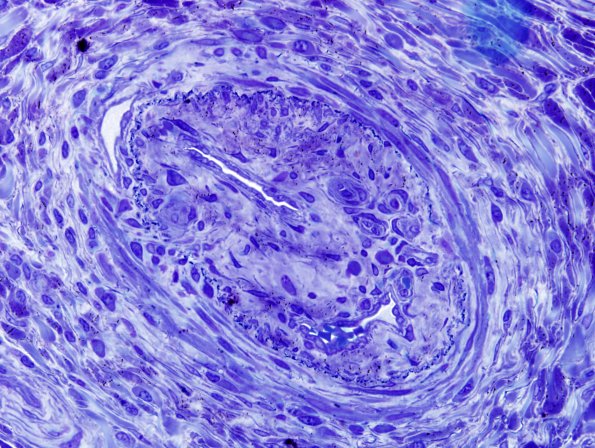
This vessel, an arteriole with visible elastic lamina, has been thrombosed with recanalization. (Plastic section)
