Table of Contents
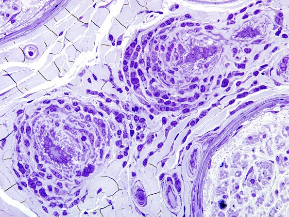
Washington University Experience | PERIPHERAL NEUROPATHY | 10 INFECTION | 2 Cytomegalovirus (in AIDS) | 3B5-Vasculitis-HIV-Patient-Case-3-Plastic-1.jpg
3B5,6 Higher magnification of multiple inflamed vessels. No CMV inclusions are identified. (Plastic sections)
