Table of Contents
« prev
next »
Washington University Experience
|
PERIPHERAL NEUROPATHY
|
10 INFECTION
|
2 Cytomegalovirus (in AIDS)
|
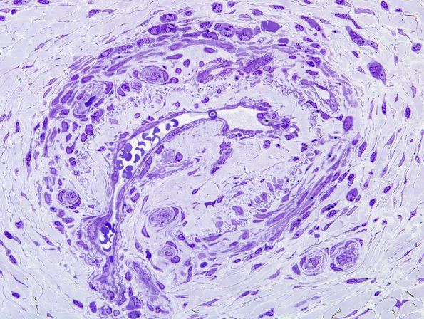
3B7-Vasculitis-HIV-Patient-Case-3-Plastic-12.jpg
Another thrombosed and recanalized vessel. (Plastic section)
Image Info
Camera Maker:
Olympus Corporation
Camera Model:
DP70
Original Time Taken:
08-08-2014
Shutter Speed:
1/35 sec
ISO Sensitivity:
200
Metering Mode:
Spot
Gallery RSS
|
Archive View
|
Login
|
Powered by
Zenphoto