Table of Contents
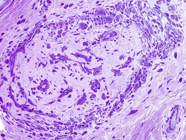
Washington University Experience | PERIPHERAL NEUROPATHY | 10 INFECTION | 2 Cytomegalovirus (in AIDS) | 3B9-Vasculitis-HIV-Patient-Case-3-Plastic-6.jpg
The epineurial vasculature is extensively involved. (Plastic sections) ---- Comment: In this case there is no definitive evidence of the role of CMV in the neuropathy in this patient and it may reflect a direct effect of HIV on the epineurial vasculature (still, however, representing an infectious process). Nonetheless, I wish we had performed CMV immunohistochemistry.
