Table of Contents
Washington University Experience | PERIPHERAL NEUROPATHY | 10 INFECTION | 3 Leprosy – Lepromatous | 1A2 Leprosy, lepromatous-pluribacillary lepra (Case 1) H&E 15
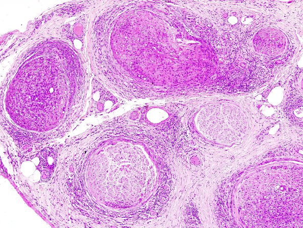
This sural nerve specimen shows variation in neuropathologic findings from fascicle-to-fascicle and, in some fascicles, resembles sensory perineuritis. There is wholesale axon loss in some fascicles. (H&E)
