Table of Contents
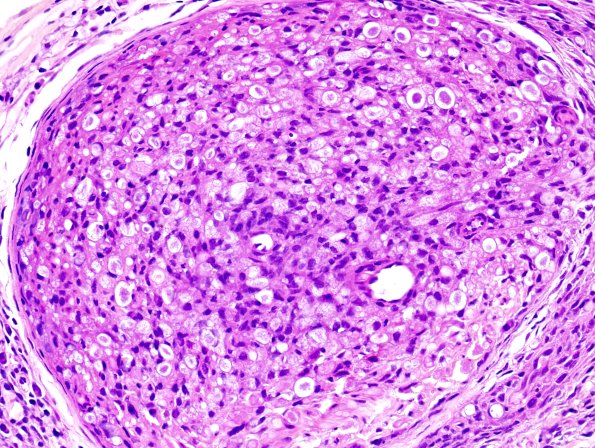
Washington University Experience | PERIPHERAL NEUROPATHY | 10 INFECTION | 3 Leprosy – Lepromatous | 1A4 Leprosy, lepromatous-pluribacillary lepra (Case 1) H&E 20
These fascicles show large numbers of macrophages and Schwann cells filled with organisms and debris (foamy cells) appear in the epineurium, endoneurium, and perineurium, with perineurial proliferation resulting in onion-skinning. (H&E)
