Table of Contents
Washington University Experience | PERIPHERAL NEUROPATHY | 10 INFECTION | 3 Leprosy – Lepromatous | 1A5 Leprosy, (Case 1) H&E 1
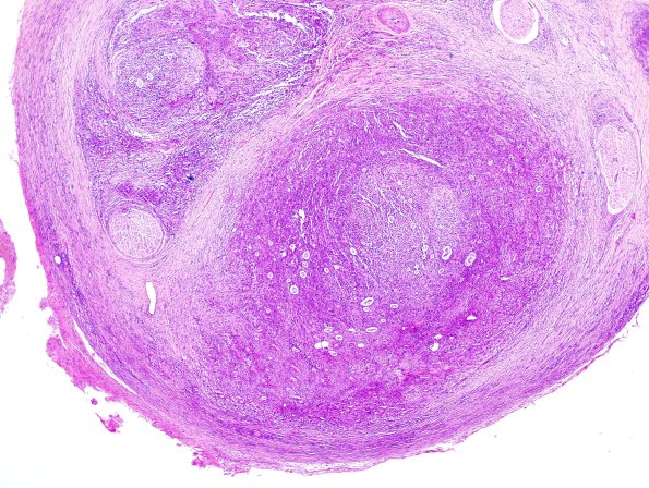
Perineurial cells often demonstrate swelling and foamy changes with bacilli containing macrophages predominating. The inflammatory infiltrate may extend an appreciable distance into the epineurium. (H&E)
