Table of Contents



Washington University Experience | PERIPHERAL NEUROPATHY | 10 INFECTION | 3 Leprosy – Lepromatous | 1A9 Leprosy, lepromatous-pluribacillary lepra (Case 1) H&E 27

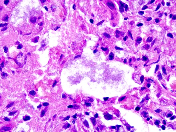
1A9 Leprosy, lepromatous-pluribacillary lepra (Case 1) H&E 27
Higher magnification of a lepra cell. (H&E)


Gallery RSS RSS Feed | Archive View | Login | Powered by Zenphoto