Table of Contents
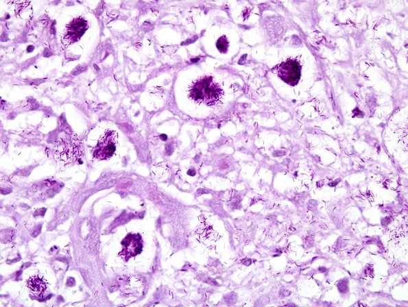
Washington University Experience | PERIPHERAL NEUROPATHY | 10 INFECTION | 3 Leprosy – Lepromatous | 1B2 Leprosy, (Case 1) Fite 12
Several magnifications of acid-fast bacilli in clumps (in lepra cells) and in smaller numbers in macrophages, histiocytes and Schwann cells. Fite stains for acid-fast organisms often demonstrate impressive numbers in Schwann cells or macrophages with foamy appearance, representing cellular reaction to the accumulation of living and dead organisms. (Fite stain)
