Table of Contents
Washington University Experience | PERIPHERAL NEUROPATHY | 10 INFECTION | 3 Leprosy – Lepromatous | 1C1-Leprosy-lepromatous-Case-1-Plastic-6-copy.jpg
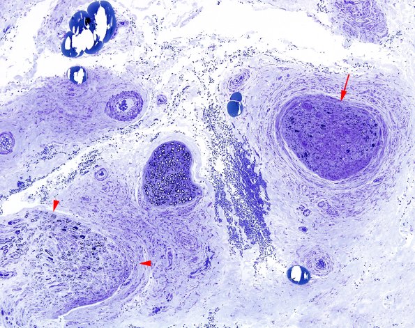
A low magnification toluidine blue stained plastic section shows several different patterns of pathology from one fascicle to another.
