Table of Contents
Washington University Experience | PERIPHERAL NEUROPATHY | 10 INFECTION | 3 Leprosy – Lepromatous | 1C2A-Leprosy-lepromatous-Case-1-Plastic-5.jpg
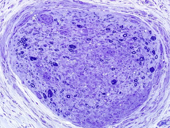
The fascicle designated with a red arrow in image #1C1 is seen at higher magnifications. This image shows significant loss of large and small myelinated axons. (Plastic section)
