Table of Contents
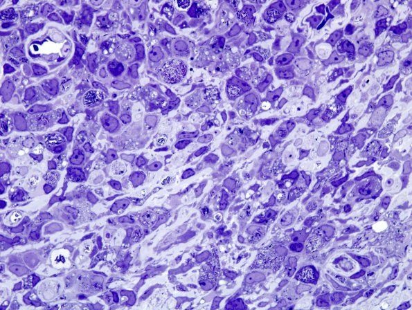
Washington University Experience | PERIPHERAL NEUROPATHY | 10 INFECTION | 3 Leprosy – Lepromatous | 1C2B (Case 1) 100X Plastic 16
1C2B,C Higher magnification of the endoneurium in this fascicle demonstrates M. leprae in Schwann cells and histiocytes. (Plastic sections)
