Table of Contents
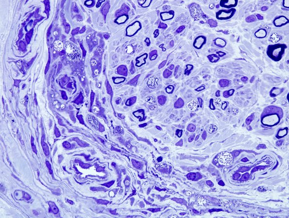
Washington University Experience | PERIPHERAL NEUROPATHY | 10 INFECTION | 3 Leprosy – Lepromatous | 1C2D-Leprosy-lepromatous-Case-1-Plastic-15.jpg
In this area the perineurium, fibroblasts, endothelium and macrophages show the bacillary organisms. Macrophages often display prominent perivascular localization. (Plastic section)
