Table of Contents
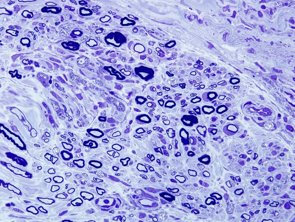
Washington University Experience | PERIPHERAL NEUROPATHY | 10 INFECTION | 3 Leprosy – Lepromatous | 1C4-Leprosy-lepromatous-Case-1-Plastic-8.jpg
This fascicle shows the retention of many axons which include a significant population of thinly myelinated axons for axon caliber which may reflect axonal degeneration and regeneration. Alternatively, there may be a population of demyelinated and remyelinating forms in this fascicle. Segmental myelin changes may predominate early on, with thinly myelinated and naked axons with progression of the disease, axonal degeneration becomes significant and involves both myelinated and unmyelinated fibers. (Plastic sections)
