Table of Contents
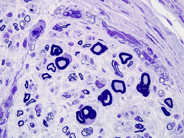
Washington University Experience | PERIPHERAL NEUROPATHY | 10 INFECTION | 3 Leprosy – Lepromatous | 1C5A-Leprosy-lepromatous-Case-1-.jpg
This excellent section shows Schwann cells, perineurium and macrophages with intracellular organisms. (Plastic section)
