Table of Contents



Washington University Experience | PERIPHERAL NEUROPATHY | 10 INFECTION | 3 Leprosy – Lepromatous | 1C5B (Case 1) 100X Plastic 3

1C5B (Case 1) 100X Plastic 3
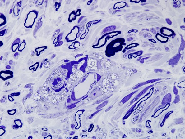
Organisms are rich in perivascular macrophages. (Plastic section)


Gallery RSS RSS Feed | Archive View | Login | Powered by Zenphoto