Table of Contents
Washington University Experience | PERIPHERAL NEUROPATHY | 10 INFECTION | 3 Leprosy – Lepromatous | 1C5D-Leprosy-lepromatous-Case-1-Plastic-18.jpg
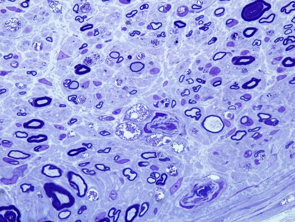
Large collections of organisms in individual macrophages may be called lepra cells. (Plastic sections)
