Table of Contents
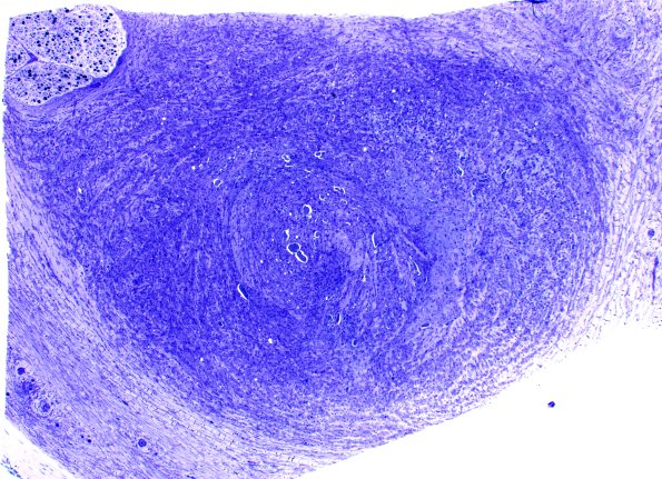
Washington University Experience | PERIPHERAL NEUROPATHY | 10 INFECTION | 3 Leprosy – Lepromatous | 1C6A (Case 1) Plastic 26
This low magnification image shows a fascicle overrun with inflammation and organisms. Note the adjacent fascicle has a completely different appearance. (Plastic sections)
