Table of Contents



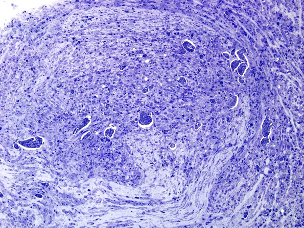
Washington University Experience | PERIPHERAL NEUROPATHY | 10 INFECTION | 3 Leprosy – Lepromatous | 1C6C (Case 1) Plastic 26

1C6C (Case 1) Plastic 26
Closeup images of lepra cells at higher magnifications. (Plastic sections)


Gallery RSS RSS Feed | Archive View | Login | Powered by Zenphoto