Table of Contents



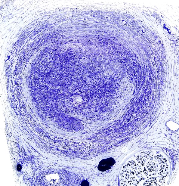
Washington University Experience | PERIPHERAL NEUROPATHY | 10 INFECTION | 3 Leprosy – Lepromatous | 1C7A (Case 1) Plastic 2

1C7A (Case 1) Plastic 2
1C7A-D The perineurium is hyperplastic with large numbers of organisms. (Plastic sections)


Gallery RSS RSS Feed | Archive View | Login | Powered by Zenphoto