Table of Contents



Washington University Experience | PERIPHERAL NEUROPATHY | 10 INFECTION | 3 Leprosy – Lepromatous | 1C7C (Case 1) Plastic 5

1C7C  (Case 1) Plastic 5
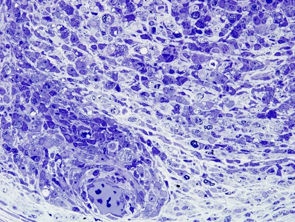
The perineurium is hyperplastic with large numbers of organisms. (Plastic sections)


Gallery RSS RSS Feed | Archive View | Login | Powered by Zenphoto