Table of Contents



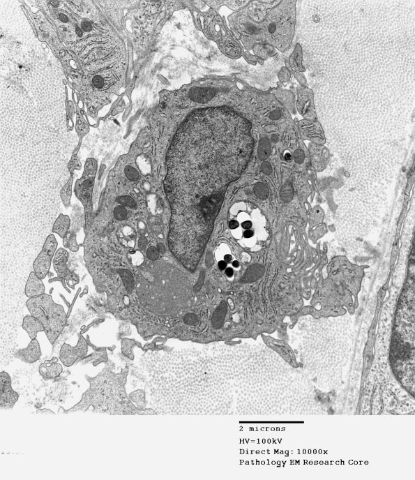
Washington University Experience | PERIPHERAL NEUROPATHY | 10 INFECTION | 3 Leprosy – Lepromatous | 1D10A Leprosy Case 1 EM001 - Copy

1D10A Leprosy Case 1 EM001 - Copy
1D10A,B Organisms within this macrophage appear to be intact. (electron micrographs)


Gallery RSS RSS Feed | Archive View | Login | Powered by Zenphoto