Table of Contents



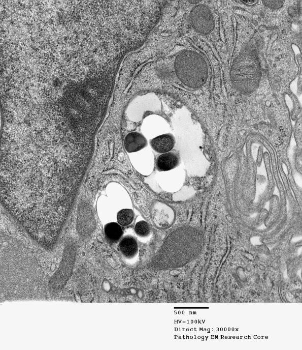
Washington University Experience | PERIPHERAL NEUROPATHY | 10 INFECTION | 3 Leprosy – Lepromatous | 1D10B Leprosy Case 1 EM003 - Copy

1D10B Leprosy Case 1 EM003 - Copy
Higher magnification of image #1D10A. (electron micrograph)


Gallery RSS RSS Feed | Archive View | Login | Powered by Zenphoto